スタッフブログ
【都島区で噛み合わせ治療】噛みにくい・顎が疲れると感じたら「咬合再構成」をご存知ですか?
日常でこんなお悩み、ありませんか?
硬いものが噛みにくい
顎がすぐ疲れる、だるい
食事のときにどこで噛んだらいいか分からない
片側だけで噛んでしまう癖がある
朝起きたとき、顎がだるい・痛む
こうした症状がある場合、「むし歯や歯周病」といった一部分の病気ではなく、口全体の咬み合わせ(咬合)に問題がある可能性があります。
そのような場合に有効なのが、**咬合再構成(こうごうさいこうせい)**という治療です。
咬合再構成(こうごうさいこうせい)とは?
咬合再構成とは、単に悪い歯を1本ずつ治すのではなく、上下の歯のバランス・顎の動き・筋肉の使い方まで含めて「噛み合わせ全体」を根本から見直す総合的な治療です。
むし歯や歯周病の治療で歯を修復しても、噛み合わせがずれていれば、また別の歯に負担がかかり、再び壊れてしまうことがあります。
咬合再構成では、全体の調和を回復させ、長く快適な口腔環境を保つことを目的としています。
噛み合わせが悪くなる主な原因
噛み合わせの乱れは、次のような複数の要因が絡み合って起こります。
歯の欠損や抜歯後の放置
奥歯を失ったままにすると、周囲の歯が動き、全体のバランスが崩れます。過去の治療による高さのズレ
被せ物や詰め物の高さが合わないと、特定の歯だけが強く当たり、顎関節や筋肉に負担がかかります。歯並びの不正
もともとの歯列不正が原因で、均等に噛めないことがあります。生活習慣や癖
片側だけで噛む癖、頬杖、うつ伏せ寝などは顎や歯列にゆがみを生じさせます。歯ぎしり・食いしばり
就寝中や日中の無意識な食いしばりが、歯や顎関節にダメージを与えます。
噛み合わせの乱れが引き起こす症状と全身への影響
顎関節症(口を開けるとカクカク音がする、痛む)
顔の左右差や歪み
慢性的な肩こり・首こり・頭痛
噛みにくさによる消化不良
歯の破折・被せ物の脱落
歯周病の悪化
噛み合わせは「口の中の問題」にとどまらず、全身の健康や日常生活の質にまで影響を及ぼします。
当院の咬合再構成の流れ
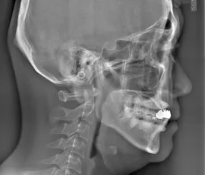
【1】精密検査で“噛み合わせの癖”を可視化

歯科用CT:骨や顎関節の形を立体的に確認

口腔内スキャナー:歯列をミリ単位でデジタル記録

セファロレントゲン:矯正専門の側面X線で顎の位置を分析

顎運動解析:噛むとき・話すときの顎の動きを記録
【2】ミリ単位で噛み合わせを調整
噛み合わせのズレは0.1mmでも影響します。
矯正治療、かぶせ物の調整、仮歯でのシミュレーションを組み合わせながら、段階的に正しい咬合バランスへ導きます。
【3】再発しにくい、長く快適な状態へ
歯・顎・筋肉の三位一体の安定を目指し、再発リスクを最小限に。
むし歯・歯周病・顎関節症の予防にもつながります。
患者さんの症例例
40代男性、長年「右側でしか噛めない」状態が続き、左の奥歯はほとんど使えないまま来院。
精密検査で、左側の咬合接触が極端に少なく、右側への負担が集中していることが判明。
矯正治療と仮歯での咬合調整を経て、左右均等に噛める状態を回復。
治療後は顎の疲れがなくなり、肩こりも改善されました。
咬合再構成のメリット
噛む力のバランスが整い、食事が快適になる
顎の負担が減り、疲れや痛みが軽減される
発音が明瞭になる場合がある
歯や被せ物の寿命が延びる
顔の左右差や口元の見た目改善につながる
噛み合わせ治療と予防歯科の関係
咬合再構成は「壊れた噛み合わせを治す」だけではありません。
正しい噛み合わせが整うことで、歯磨きがしやすくなり、歯垢や歯石の付着を防ぎやすくなります。
例えば、歯並びが凸凹していると歯ブラシが届きにくく、汚れが残ってむし歯や歯周病のリスクが高まりますが、咬合を整えることで清掃性が改善されます。
さらに、噛み合わせが正しいと、歯への過剰な力が均等に分散されるため、歯や被せ物の破損リスクも低減します。
つまり、咬合再構成は「長期的な予防歯科」の土台でもあるのです。
放置するとどうなる? 噛み合わせトラブルの進行
一部の歯に負担集中 → 歯の破折・摩耗
顎関節に負担 → 痛み・開口障害
噛みにくさ → 消化不良・胃腸障害
歯周病の悪化 → 歯の喪失
特に、片側噛みや食いしばりのある方は要注意です。
院長のこだわりと当院の強み
矯正治療・補綴治療の双方に精通した院長が一貫して治療
歯科医師向けセミナーでインストラクターを務める技術力
口腔内スキャナー・CT・セファロなど最新デジタル機器完備
患者様の生活背景(仕事・趣味・癖)も考慮したオーダーメイド治療
「なんとなく噛みにくい」「他院で改善しなかった」という方もぜひご相談ください。
咬合再構成後のメンテナンス方法
咬合再構成は完成して終わりではなく、その後の維持管理が非常に重要です。
当院では、治療後に以下のようなメンテナンスプログラムをご提案しています。

定期検診(3〜6ヶ月ごと)
咬合の微細なズレや、歯や顎関節の負担をチェックします。プロフェッショナルクリーニング(PMTC)
歯科衛生士による専用器具での清掃で、汚れやバイオフィルムを除去。ナイトガードの使用
歯ぎしり・食いしばりのある方には、就寝時に装着するマウスピースで歯を保護します。噛み合わせセルフチェック指導
ご自宅でできる簡単な顎の動きや咀嚼の確認方法をお伝えします。
日常生活でできる噛み合わせセルフケア
両側で噛む習慣を意識する
片側ばかりで噛むと左右差が悪化します。頬杖やうつ伏せ寝を避ける
顎や歯列に偏った圧力がかかります。食いしばりを自覚する
パソコン作業や運転中は上下の歯を軽く離すことを意識しましょう。柔らかい食事ばかりに偏らない
ある程度の噛む刺激は顎や筋肉の健康維持に必要です。
まとめ
噛み合わせの乱れは自然には治らず、放置すると歯・顎・全身の健康を損なうリスクがあります。
早期に現状を把握し、適切な治療を行うことで、快適で健康的な生活が取り戻せます。
津田歯科・矯正歯科では、精密検査と長期的視点を持った治療で、あなたの口の健康を守ります。
📍都島駅から徒歩3分。都島区で「本気で治したい」方へ
当院では、咬合再構成を含めたカウンセリングを無料で実施しています。
「なんとなく噛みにくい」「他院で治したけれど改善しない」といった方も、ぜひ一度お気軽にご相談ください。
📅 【診療時間】
平日:9:30~13:00 / 14:00~18:00
土曜:9:30~13:00 / 14:00~17:00
休診日:木曜・日曜・祝日
📍【アクセス】
大阪市都島区善源寺町1-5-37(都島駅より徒歩3分)
🌱 まずはお気軽に無料相談からどうぞ
咬み合わせのトラブルは、放っておくと他の歯や顎関節にまで負担がかかります。
今の不快感が気になる方は、まずは【無料カウンセリング】にお越しください。
初めての方でも安心!当院の無料相談の流れ
問診
症状だけでなく、生活習慣や既往歴、仕事・スポーツ習慣などもお伺いします。簡易検査
口腔内の状態や咬合接触の確認、顎の動きのチェックを行います。説明・提案
現在の噛み合わせの状態を模型や画像でお見せし、必要に応じて精密検査のご案内をします。費用・期間の目安提示
患者様の希望やライフスタイルに合わせた治療計画をご提案します。
無料相談は**「相談だけで帰る」ことももちろん可能**ですので、まずはお気軽にお越しください。
🧩 関連ページへのご案内:
津田歯科・矯正歯科の医院情報
津田歯科・矯正歯科
住所:大阪府大阪市都島区善源寺町1-5-37 美代志ビル1階
アクセス:大阪メトロ谷町線「都島駅」より徒歩3分
電話:06-6922-6480
Web予約:https://tsuda-dc.jp/当院のInstagramはこちら:https://www.instagram.com/tsudadentalclinic5824/
診療時間:平日 9:30~13:00 / 14:00~18:00
土曜 9:30~13:00 / 14:00~17:00
休診日:木曜・日曜・祝日(GW・お盆・年末年始あり)
CATEGORYカテゴリー
RECENT POSTS最近の投稿
TAGタグ
ARCHIVE月別アーカイブ
2026年 (17)
2025年 (224)
2024年 (205)
2023年 (49)
2022年 (11)
2021年 (1)
2020年 (9)
2018年 (24)
2017年 (64)
2016年 (49)
2015年 (12)











