スタッフブログ
最新!津田歯科・矯正歯科で叶える「美しく機能的な笑顔」✨
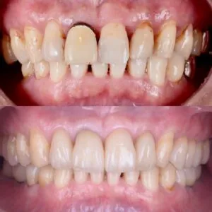
1. 審美歯科とは?美しさと機能性を両立できる治療
審美歯科は「銀歯を白くしたい」「自然な歯並びを取り戻したい」といった見た目の改善だけでなく、噛み合わせや咀嚼(そしゃく)機能も重視する総合的な治療です。
津田歯科では、セラミッククラウンやラミネートベニア、ホワイトニングなどの自由診療を用いて、天然歯に近い色調・透明感を再現可能です🦷✨
これにより、機能性を損なうことなく、自然で美しい白い歯を長期間維持できます。
2. 審美素材の種類と特徴
治療方法 | 特徴 | メリット |
---|---|---|
セラミッククラウン/インレー | 金属を使わない高品質な素材 | 天然歯そっくりの見た目・耐変色性あり |
ラミネートベニア | 薄いセラミック板を貼る治療 | 削る量が少なく、前歯の形や色を整えるのに有効 |
ホワイトニング(オフィス・ホーム) | 薬剤と光を使った漂白 | 歯への負担少なめ、自宅ケアにも対応 |
3. 津田歯科矯正歯科ならではのこだわりポイント
機能性を重視した審美治療
噛み合わせや歯並びまで含めて総合的に診断・治療する体制。高度設備の充実
マイクロスコープや口腔内スキャナーなど最新機器を駆使し、歯科技工士との連携で精度の高いセラミック治療を実現。駅近&通いやすさ
大阪メトロ谷町線 都島駅から徒歩3分。平日は18時まで、土曜も17時まで受診可能で、お仕事や家事で忙しい方にも便利です。
4. 審美治療の流れ ~安心のステップ~
①初回カウンセリング
当院での審美治療の種類や料金形態などについて丁寧な説明をさせていただき、ご質問もいただけます。ご不明点を解決致します。
②検査・治療計画作成
噛み合わせ、歯周状態、審美要望を総合評価してオーダーメイドのプランを提案。検査・治療計画の作成
③治療の着手
セラミック作製や仮歯装着など段階的に進め、安全かつ確実な治療をサポート。
④定期検診
治療後も1ヶ月〜3ヶ月ごとのメンテナンスで美しさと機能を持続。口腔衛生の維持もサポートを行います。
5. 審美+健康を叶える!メリットはいくつもあります
自然な見た目:透明感ある歯により、笑顔に自信。
長期耐久性:色褪せしにくく、二次虫歯のリスクも軽減。
アレルギー対策:金属不使用で金属アレルギーにも安心。
全身の健康と連動:見た目・噛み合わせ・口腔衛生を通じて、健康寿命アップにも貢献。
6. まずはお気軽にご相談を!
「銀歯が気になる」「前歯をもっと綺麗にしたい」「噛み合わせのバランスが気になる」という方は、ぜひ一度当院にご相談ください。
初診カウンセリングで丁寧にご希望をお伺いし、最適な審美プランをご提案します。
\ようこそ津田歯科・矯正歯科へ/
都島駅徒歩3分、平日夜&土曜診療対応
無料カウンセリングで不安・疑問を解消
審美・機能・健康を一体的にサポート
美しい口元は、あなたの印象を大きくアップさせます。まずはお気軽にお問い合わせ・ネット予約をどうぞ!
津田歯科・矯正歯科の医院情報
津田歯科・矯正歯科
住所:大阪府大阪市都島区善源寺町1-5-37 美代志ビル1階
アクセス:大阪メトロ谷町線「都島駅」より徒歩3分
電話:06-6922-6480
Web予約:https://tsuda-dc.jp/当院のInstagramはこちら:https://www.instagram.com/tsudadentalclinic5824/
診療時間:平日 9:30~13:00 / 14:00~18:00
土曜 9:30~13:00 / 14:00~17:00
休診日:木曜・日曜・祝日(GW・お盆・年末年始あり)
CATEGORYカテゴリー
RECENT POSTS最近の投稿
TAGタグ
ARCHIVE月別アーカイブ
2025年 (179)
2024年 (205)
2023年 (49)
2022年 (11)
2021年 (1)
2020年 (9)
2018年 (24)
2017年 (64)
2016年 (49)
2015年 (12)