スタッフブログ

【ちょっと待って!】安さだけで選んでいませんか?安価な審美治療に潜むリスクとは|都島・津田歯科矯正歯科

「SNSやネットで格安のセラミック治療を見つけた」

「1本数万円で白い歯にできるって本当?」

そう思った方にこそ、**安価な審美治療に潜む“落とし穴”**について、ぜひ知っていただきたいと思います。


■ 安価な審美歯科治療でよくあるケース

近年、「審美歯科が安く受けられる」とうたう広告をよく目にします。

しかし、その裏側にはこんなリスクが潜んでいることをご存知ですか?


■ よくある“安価治療”のリスクとデメリット

①【見た目が不自然・浮いて見える】

安価な治療では、既製の技工物を使い回したり、色合わせを省略したりすることがあります。

その結果…

✅ 歯の色が周囲と合っていない

✅ 表面にツヤがなく「作り物感」がある

✅ 不自然な白さで逆に目立つ

特に前歯は、顔の印象に大きく影響する部分。

「せっかく治療したのに、かえって気になるようになった…」というケースも。


②【すぐに割れたり、外れたり】

安価な素材(プラスチック系・強度の弱いセラミック)や、粗雑な接着操作により、

✅ 使用中にすぐにヒビが入る

✅ 数ヶ月で脱落してしまう

✅ 奥歯で噛めない、痛みがある

といったトラブルが起こることも。

結果的に「安かったけど、結局やり直しで高くついた…」という声も少なくありません。


③【再治療が難しく、歯を失う可能性も】

適合の悪い補綴物は、すき間から細菌が侵入しやすく、虫歯や歯周病の原因になります。

さらに、必要以上に歯を削られていた場合、再治療できず最悪は抜歯に至るケースもあります。


④【技工物の質が低く、耐久性が不安】

安価な治療の多くは、

  • 海外の大量生産ラボで作られた精度の低い技工物

  • 経験の浅い技工士による製作

    などが背景にあることも。

質の悪い技工物は、噛み合わせや咬合バランスにも悪影響を与える可能性があり、全身の健康に関わることもあるのです。


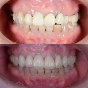
■ 津田歯科矯正歯科が大切にしていること

当院では、価格だけでなく「治療の質と長期的な安心」を重視しています。

✅ 技術と審美眼を持つドクターによる治療計画

患者さまの口元やライフスタイル、歯の状態を細かく分析し、最適な素材・形・色を一から設計します。

✅ 厳選された国内歯科技工士との連携

「歯を作るプロ」である技工士と密に連携し、精度と自然さを極限まで追求した補綴物をご提供しています。

✅ 5年保証制度あり(※一部治療)

安心して治療を受けていただけるよう、長期保証とアフターケア体制も充実

治療して終わり、ではなく「10年先を見据えた治療」を行います。


■ 安さだけでは測れない「審美治療の価値」

「安かったから選んだ」

「とりあえず見た目だけ良くなれば…」

そういった選び方で、あとから後悔される方も少なくありません。

審美治療は、「見た目」「機能」「健康」のバランスが取れて初めて価値あるものになります。


📍 大阪市都島区で、信頼できる審美治療なら

津田歯科・矯正歯科では、患者さまのご希望と歯の健康を両立した**“後悔しない審美治療”**をご提供しています。

✅ 初回カウンセリングでは、治療方法・費用・期間をしっかりご説明

✅ 保険診療との比較や、他院での治療後の相談もOK

✅ 納得してから治療を受けていただける丁寧な対応がモットーです

▶ ご予約・ご相談はこちら:https://tsuda-dc.jp/


【まとめ】

選び方内容結果
値段だけで選ぶ安価な素材・技術見た目や耐久性で後悔する可能性あり
質で選ぶ精密な技工・適合・審美性長期的な満足と安心につながる

「あなたの大切な歯を、どんな材料で、どんな技術で治療するか」

ぜひ、慎重に選んでください。

津田歯科・矯正歯科の医院情報

津田歯科・矯正歯科

住所:大阪府大阪市都島区善源寺町1-5-37 美代志ビル1階

アクセス:大阪メトロ谷町線「都島駅」より徒歩3分

電話:06-6922-6480

Web予約:https://tsuda-dc.jp/当院のInstagramはこちら:https://www.instagram.com/tsudadentalclinic5824/

診療時間:平日 9:30~13:00 / 14:00~18:00

土曜 9:30~13:00 / 14:00~17:00

休診日:木曜・日曜・祝日(GW・お盆・年末年始あり)

津田歯科・矯正歯科

RECENT POSTS最近の投稿

TAGタグ

ARCHIVE月別アーカイブ