スタッフブログ
【セラミック治療の魅力とは?】美しさ・機能・健康を兼ね備えた審美治療|都島・津田歯科矯正歯科
「銀歯が目立って気になる…」
「治療した歯も白くきれいにしたい!」
そんなお悩みをお持ちの方に選ばれているのが、セラミック治療です。
当院・津田歯科矯正歯科(大阪市都島区)では、見た目の美しさはもちろん、機能性と健康面にもこだわったセラミック治療を提供しています。
■ セラミック治療とは?
セラミック治療とは、虫歯やかぶせ物、詰め物などの治療に高品質な白い陶材(セラミック)を使用する治療法です。
見た目は天然歯のように自然で、金属アレルギーの心配もないのが特徴。
審美歯科の中心的な選択肢として、多くの患者さんに支持されています。
■ セラミック治療の魅力・メリット
① 【自然な美しさ】
セラミックは光の透過性があり、天然歯とほとんど見分けがつかないほど自然な仕上がりになります。
前歯や笑ったときに見える部分の治療に最適です。
② 【変色しにくく、長持ち】
プラスチック製の詰め物(レジン)と違い、セラミックは変色しにくく、ツヤや白さを長期間キープできます。
③ 【金属不使用でアレルギーの心配なし】
金属を使用しない「メタルフリー治療」が可能なので、金属アレルギーの心配がないだけでなく、歯茎の黒ずみも起きにくくなります。
④ 【精密なフィット感】
当院では、マイクロスコープや口腔内スキャナーなどのデジタル機器を使用し、精度の高いセラミック修復物を提供。
二次虫歯のリスクも大幅に抑えられます。
⑤ 【噛み合わせや機能性も重視】
津田歯科では、審美性だけでなく「噛む力」や「噛み合わせのバランス」も細かく調整。見た目と機能の両立を目指す治療を行っています。
■ セラミックの種類と選び方
種類 | 特徴 | 対応部位 | 耐久性 | 審美性 |
---|---|---|---|---|
オールセラミック | すべてセラミック素材。自然な透明感 | 前歯〜小臼歯 | ◎ | ◎ |
ジルコニアセラミック | 強度が高く奥歯に向いている | 奥歯・ブリッジなど | ◎ | ◯〜◎ |
ハイブリッドセラミック | セラミック+レジンの混合素材 | 臼歯部の詰め物など | ◯ | ◯ |
※患者様の噛み合わせや歯の位置に応じて、最適な素材をご提案いたします。
■ こんな方におすすめです!
銀歯を白くしたい
笑ったときの見た目が気になる
昔の治療跡が黄ばんできた
金属アレルギーが心配
美しさと耐久性の両方を求めたい
■ 治療の流れ
カウンセリング・診査診断
噛み合わせや歯の状態を精密に確認治療計画の立案・素材のご提案
ご予算・ご希望を考慮し、最適な素材をご案内歯の形成・仮歯装着
必要な場合は一時的な仮歯で快適に過ごせますセラミック装着
精密な調整とともに、審美性・機能性を確認定期メンテナンス
定期的な検診とクリーニングで長期維持をサポート
■ よくある質問(Q&A)
Q:セラミックは保険適用されますか?
A:基本的には自由診療(自費)ですが、一部条件付きでCAD/CAM冠などが保険適用される場合もあります。詳細はご相談ください。
Q:どれくらい長持ちしますか?
A:正しくケアすれば10年以上の耐久性が期待できます。咬合管理やメンテナンスでさらに長持ちします。
Q:銀歯を白くしたいだけでも相談可能ですか?
A:もちろんです。前歯・奥歯問わず、1本から対応可能ですのでお気軽にご相談ください。
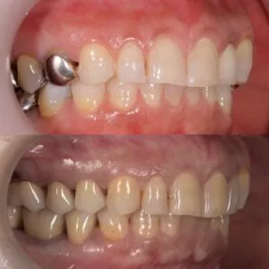
✨ 実際の症例をご覧ください
● オールセラミックで銀歯から白く自然な歯へ
奥歯の銀歯をオールセラミックに置き換え、天然歯そっくりの自然な仕上がり
➡︎ しっかり噛めて見た目も満足
● ジルコニアセラミックで奥歯にも安心の強度
強度の高いジルコニアセラミックを使用。
奥歯でも安心して噛める耐久性と白さを実現
これらの症例はすべてセラミック治療の専門家チームによる精密な設計と技術に支えられています。
👉 詳しい症例はこちらからご確認いただけます
➡︎ 審美治療症例(セラミック/オールセラミック/ジルコニアセラミックなどの実例多数)
📍 大阪市都島区でセラミック治療をご検討の方へ
津田歯科・矯正歯科では、見た目の美しさだけでなく、**機能性・予防面も考えた“長く快適に使える治療”**をご提供しています。
✅ 谷町線「都島駅」徒歩3分
✅ 土曜診療あり
✅ 初診カウンセリング(要予約)
▶ ご予約はこちら:https://tsuda-dc.jp/
津田歯科・矯正歯科の医院情報
津田歯科・矯正歯科
住所:大阪府大阪市都島区善源寺町1-5-37 美代志ビル1階
アクセス:大阪メトロ谷町線「都島駅」より徒歩3分
電話:06-6922-6480
Web予約:https://tsuda-dc.jp/当院のInstagramはこちら:https://www.instagram.com/tsudadentalclinic5824/
診療時間:平日 9:30~13:00 / 14:00~18:00
土曜 9:30~13:00 / 14:00~17:00
休診日:木曜・日曜・祝日(GW・お盆・年末年始あり)
CATEGORYカテゴリー
RECENT POSTS最近の投稿
TAGタグ
ARCHIVE月別アーカイブ
2025年 (179)
2024年 (205)
2023年 (49)
2022年 (11)
2021年 (1)
2020年 (9)
2018年 (24)
2017年 (64)
2016年 (49)
2015年 (12)