スタッフブログ
横顔の印象がここまで変わる!矯正治療ビフォーアフター【都島区|津田歯科・矯正歯科】

おはようございます。大阪市都島区、地下鉄「都島駅」から徒歩3分の「津田歯科・矯正歯科」です。院長の津田です。
本日は、当院で実際に行われた患者様の**矯正治療ビフォーアフター(側方面観)**をご紹介しながら、歯並びの治療がもたらす変化について詳しく解説します。
歯並びが整うことで、**見た目だけでなく「横顔の印象」**にも大きな変化が現れます。多くの患者様が、治療後に「横顔に自信が持てるようになった」「コンプレックスが解消された」とお喜びになります。
なぜ矯正治療で横顔が変わるのか、どのようなメリットがあるのか、当院の治療方針と併せて詳しくお伝えします。矯正治療をご検討中の方にとって、きっと参考になる内容ですので、ぜひ最後までお読みください。(約4000文字)
1. 実際の症例紹介:前歯の突出感を改善し、美しいEラインへ
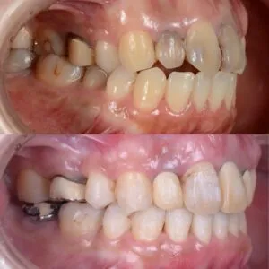
まずは、当院で治療を終えられた患者様のビフォーアフター事例をご紹介します。
Before (上の写真)→ After(下の写真)

今回の患者様は、以下のようにお悩みでした。
- 前歯の突出感(いわゆる“出っ歯”)
- かみ合わせのズレ
- 口元のふくらみが気になる
矯正治療により、上下の歯の位置関係が整い、横顔のライン(Eライン)も美しく自然なバランスに変化しました。
**【Before】**では上下の前歯が前方に傾斜しており、お口元にふくらみがあるように見えます。これは、唇が前に押し出されているためです。
**【After】**では、前歯が適切な位置に引っ込んだことで、フェイスラインがすっきりとし、口元が引き締まった印象になっています。鼻先から顎先を結ぶ「Eライン(エステティックライン)」の内側に唇が収まり、理想的な横顔を実現できました。
2. なぜ矯正治療で「横顔」が変わるのか? Eラインの重要性
歯並びと横顔の印象は、密接に関係しています。特に、出っ歯や受け口といった骨格的な問題がある場合、歯を動かすことで骨格のバランスも改善され、顔全体の印象が大きく変わります。
Eライン(エステティックライン)とは?
Eラインとは、鼻の先端から顎の先端までを直線で結んだラインのことです。このラインに対して、唇がどの位置にあるかが、美しい横顔の基準の一つとされています。
- 理想的なEライン:唇がEラインの内側、またはラインに触れる程度の位置にある状態。
- 日本人に多い悩み:日本人は骨格的に下顎が小さく、口元が前に出やすい傾向があります。これにより、Eラインの外側に唇が出てしまうことが多く、これが「口ゴボ(口元がゴリラのようにふくらんでいるように見えること)」と呼ばれる原因になります。
矯正治療では、歯を顎の骨の中で適切な位置に移動させることで、前歯の傾きや位置を調整します。これにより、唇を支える土台が変わり、自然と口元が引っ込み、Eラインが改善されるのです。
抜歯の必要性について
口元の突出感が強い場合、歯をきれいに並べるためのスペース確保と、口元を引っ込めるスペース確保のために、抜歯(主に前から4番目の小臼歯)が必要になるケースがあります。抜歯をすることで、歯列全体を後方に移動させ、理想的なEラインを目指します。
「歯を抜きたくない」というお気持ちも分かりますが、診断の結果、抜歯が必要な症例で無理に非抜歯矯正を行うと、かえって口元が出っ張ってしまうリスクがあります。当院では、精密検査の結果に基づき、患者様と相談の上、最適な治療計画をご提案します。
3. 横顔の変化だけじゃない! 矯正治療で得られるメリット
矯正治療のメリットは、横顔や見た目の美しさだけにとどまりません。噛み合わせが改善されることによる機能的なメリットも非常に大きいのです。
機能的なメリット
- かみ合わせが良くなり、咀嚼(そしゃく)や発音がスムーズに:
- 食べ物を効率よく噛めるようになり、消化を助けます。
- 特定の歯に過度な負担がかかるのを防ぎ、歯の寿命を延ばします。
- 正しい噛み合わせは、顎関節症の予防にもつながります。
- 歯の隙間がなくなることで、発音の改善にもつながります。
- 虫歯・歯周病予防:
- 歯並びがガタガタだと、歯磨きが難しく、磨き残しが多くなります。
- 歯並びが整うことで、歯ブラシが届きやすくなり、虫歯や歯周病のリスクを大幅に減らすことができます。
- 顎関節への影響:
- 悪い噛み合わせは、顎関節に負担をかけ、顎関節症(口が開けにくい、顎がカクカク鳴る、痛い)の原因となります。
- 正しい噛み合わせにすることで、顎関節への負担を軽減します。
審美的なメリット
- 口元の突出感が解消され、自然で調和のとれた横顔に:
- Eラインの改善は、フェイスライン全体の引き締め効果ももたらします。
- 顔全体の印象が明るく、自信のある笑顔に:
- 歯並びのコンプレックスが解消されることで、人前で口元を隠さず、心から笑えるようになります。これは、患者様の精神的な健康にも大きく寄与します。
4. 当院の矯正治療について:見た目と機能の調和
当院「津田歯科・矯正歯科」では、患者様一人ひとりに合わせた最適な矯正プランをご提案しております。単に歯をきれいに並べるだけでなく、以下の3つのポイントを重視した治療を行っています。
4つのこだわり
- 見た目の美しさ(審美性):
- 理想的なEラインやスマイルライン(笑った時に見える歯のライン)を目指します。
- かみ合わせのバランス(機能性):
- 長期的な歯の健康と咀嚼機能を維持できるよう、精密な噛み合わせの調整を行います。
- 顎関節への影響:
- 顎関節に負担がかからない、安定した噛み合わせを構築します。
- 将来の歯の健康(予防):
- 治療後の虫歯や歯周病リスクを減らし、整った歯並びを長く維持できるようサポートします。
対応可能な矯正装置
患者様のご希望やライフスタイルに合わせて、様々な装置をご提案しています。
- マウスピース矯正(インビザライン):
- 透明なマウスピースを使用するため、目立ちにくいのが最大のメリットです。食事や歯磨きの際に取り外せるため衛生的です。軽度から中程度の症例に適しています。
- ワイヤー矯正(表側矯正):
- 歯の表面にブラケットという装置とワイヤーを装着する、最も一般的な矯正方法です。様々な症例に対応可能で、白いブラケットやワイヤーを選ぶことで、目立ちにくくすることも可能です。
- お子さまの矯正(小児矯正):
- お子様の成長段階に合わせて、顎の骨の成長を誘導したり、悪癖を改善したりする治療を行います。将来的な本格矯正をスムーズに進める目的があります。
5. まずは無料カウンセリングから:都島区の津田歯科・矯正歯科へ
「自分の横顔も変えられるかな?」
「出っ歯や口元が気になるけど、どんな治療が合うか分からない…」
「出っ歯や口元が気になるけど、どんな治療が合うか分からない…」
そんなお悩みや疑問をお持ちの方は、ぜひ当院の無料カウンセリングをご利用ください。
矯正治療は、人生を変える大きな決断です。だからこそ、不安や疑問を解消し、納得した上でスタートすることが大切です。当院では、カウンセリングで患者様のお悩みやご希望をじっくりとお伺いし、精密検査を経て、最適な治療計画をご提案します。無理な勧誘は一切行いませんので、ご安心ください。
皆様のお口の健康と、自信に満ちた笑顔、美しい横顔を手に入れるお手伝いができれば幸いです。お気軽にご予約ください。

津田歯科・矯正歯科の医院情報
津田歯科・矯正歯科
住所:大阪府大阪市都島区善源寺町1-5-37 美代志ビル1階
アクセス:大阪メトロ谷町線「都島駅」より徒歩3分
電話:06-6922-6480
Web予約:https://tsuda-dc.jp/当院のInstagramはこちら:https://www.instagram.com/tsudadentalclinic5824/
診療時間:平日 9:30~13:00 / 14:00~18:00
土曜 9:30~13:00 / 14:00~17:00
休診日:木曜・日曜・祝日(GW・お盆・年末年始あり)
津田歯科・矯正歯科
CATEGORYカテゴリー
RECENT POSTS最近の投稿
TAGタグ
ARCHIVE月別アーカイブ
2025年 (214)
2024年 (205)
2023年 (49)
2022年 (11)
2021年 (1)
2020年 (9)
2018年 (24)
2017年 (64)
2016年 (49)
2015年 (12)











