インプラント
【もう食事を我慢しなくていい】しっかり噛めない悩みを解決|原因と治療法を徹底解説
「食事が楽しくない…」
「硬いものが食べられず、メニュー選びがストレス…」
「昔のように、なんでも美味しく食べたい…」
「硬いものが食べられず、メニュー選びがストレス…」
「昔のように、なんでも美味しく食べたい…」
しっかり噛めないことにお悩みではありませんか?
- 歯が痛くて噛めない
- 入れ歯が合わず、食事が苦痛
- 噛み合わせが悪く、顎が疲れる
- 歯がグラグラして、うまく噛めない
「このまま一生、食事を楽しめないのでは…」と、諦めかけている方もいるかもしれません。
ですが、諦める必要はありません。津田歯科・矯正歯科では、長年の経験と確かな技術で、しっかり噛める喜びを再び取り戻すお手伝いをしています。
この記事では、「なぜしっかり噛めないのか?」という原因から、具体的な解決策までを分かりやすく解説します。ぜひ、最後までお読みください。
1. しっかり噛めないのは、食事だけの問題ではありません
「しっかり噛めない」という悩みは、単に「食べづらい」というだけではありません。実は、心と身体に様々な悪影響を及ぼします。
① 消化不良による身体の不調
食べ物をよく噛まずに飲み込むと、胃や腸に大きな負担がかかります。これにより、胃もたれや消化不良、便秘などの身体の不調を引き起こすことがあります。
② 全身の健康への影響
咀嚼(そしゃく)には、全身の健康を保つための重要な役割があります。
- 脳の活性化:噛むことで脳に刺激が与えられ、認知症予防に繋がると言われています。
- 唾液の分泌:唾液には、むし歯や歯周病菌を洗い流す自浄作用や、消化を助ける働きがあります。
- 生活習慣病のリスク:よく噛めないと、早食いになりがちで、糖尿病や肥満のリスクが高まると言われています。
③ 心の健康への影響
「硬いものが食べられない」「人前で食事するのが恥ずかしい」といったストレスは、食事の楽しみを奪い、精神的な負担となります。好きなものを美味しく食べられないことは、人生の大きな喜びの一つを失うことにも繋がります。
2. あなたの「噛めない」原因は?症状別チェックリスト
しっかり噛めない原因は、患者さん一人ひとり異なります。まずは、ご自身の症状と照らし合わせてみましょう。
- むし歯や歯周病- 症状:特定の歯が痛くて噛めない、歯ぐきから血が出る、歯がグラグラする。
- 解説:むし歯が進行すると、神経にまで達して激痛を伴います。また、歯周病で歯を支える骨が溶けると、歯が不安定になり、噛む力が弱まります。
 
- 噛み合わせの不調- 症状:奥歯がうまく噛み合わない、顎が疲れやすい、肩こりや頭痛がある。
- 解説:生まれつきの歯並びの悪さや、過去の治療で被せ物の高さが合っていないことが原因で、噛み合わせのバランスが崩れている可能性があります。
 
- 入れ歯の不具合- 症状:入れ歯が浮いて噛めない、入れ歯が痛い、外れやすい。
- 解説:歯ぐきの形は日々変化するため、入れ歯も定期的な調整が必要です。合わない入れ歯を使い続けると、痛みや不快感が増し、うまく噛めなくなります。
 
- 被せ物・詰め物の不具合- 症状:被せ物や詰め物が取れた、かけた、高さが合わない。
- 解説:治療したはずの歯が、再度不具合を起こしている可能性があります。特に、噛み合わせのズレは、被せ物や詰め物の破損に繋がります。
 
- 歯ぎしり・食いしばり- 症状:朝起きたときに顎が痛い、歯がすり減っている。
- 解説:無意識に行う歯ぎしりや食いしばりは、歯や顎に大きな負担をかけ、噛む力を弱めます。
 
3. 【解決策】津田歯科・矯正歯科が提供する「噛める喜び」を取り戻す治療法
当院では、患者さんの状態とご希望に合わせて、最適な治療法をご提案します。
① 精密な検査と総合的な診断

まずは、口腔内の状態を正確に把握するため、3D-CTなどの最新機器を用いた精密検査を行います。歯だけでなく、顎の骨の状態、噛み合わせのバランスまで総合的に診断し、患者さんだけの治療計画を立てます。
② 噛み合わせ治療
- 矯正治療:歯並びを整えることで、噛み合わせのバランスを改善します。部分的な矯正から全体的な矯正まで、患者さんの状況に合わせてご提案します。
 
 
- 被せ物・詰め物の調整:マイクロスコープを使用し、精密な被せ物や詰め物を製作・調整することで、理想的な噛み合わせを回復します。

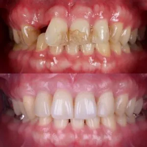
③ インプラント治療
歯を失ってしまった方には、インプラント治療をご提案します。インプラントは、人工歯根を顎の骨に埋め込むため、天然の歯に近い噛み心地と審美性を取り戻すことが可能です。

④ 精密な義歯(入れ歯)治療
「入れ歯が合わない」というお悩みにも、様々な解決策があります。
- 精密義歯:患者さんのお口の形にぴったりと合った精密な義歯を製作し、安定した噛み心地を実現します。
- インプラントオーバーデンチャー:インプラントを数本埋め込み、それを土台として入れ歯を固定することで、安定感を大幅に向上させます。
⑤ 根本原因へのアプローチ
歯周病が原因で噛めない方には、徹底した歯周病治療を行います。また、歯ぎしりや食いしばりが原因の場合は、ナイトガード(マウスピース)の製作や、生活習慣の改善アドバイスも行います。
4. 痛みに配慮した治療と安心のサポート体制
「歯医者は痛い」というイメージをお持ちの方もいらっしゃるかもしれません。当院では、患者さんの不安を少しでも和らげられるよう、様々な工夫をしています。
- 痛みに配慮した麻酔:表面麻酔や極細の針を使用し、麻酔時の痛みを最小限に抑えます。
- 丁寧なカウンセリング:治療内容や今後の流れについて、患者さんが納得いくまで丁寧にご説明します。
- プライバシーに配慮した個室:他の患者さんを気にすることなく、リラックスして治療を受けていただけます。
5. 一歩踏み出す勇気を、私たちが全力で応援します
「噛めない」という悩みは、放置しても決して良くはなりません。
「いつか治るだろう…」「もう少し様子を見てみよう…」と先延ばしにすることで、症状はさらに悪化してしまう可能性があります。
「いつか治るだろう…」「もう少し様子を見てみよう…」と先延ばしにすることで、症状はさらに悪化してしまう可能性があります。
大切なのは、「今、行動すること」です。
当院では、患者さんの心の準備が整うまで、じっくりと寄り添います。まずは、無料相談をご利用ください。
【相談の流れ】
- お電話またはウェブサイトからご予約
- ご来院・問診:お悩みやご希望を詳しくお聞かせください。
- お口の状態のチェック:無理のない範囲で、お口の中を拝見します。
- 治療の可能性をご説明:具体的な治療計画をご提案し、ご質問にお答えします。
「あの時、勇気を出して津田歯科・矯正歯科に相談して良かった」
そう思っていただけるよう、スタッフ一同、全力でサポートいたします。
そう思っていただけるよう、スタッフ一同、全力でサポートいたします。
6. 「そのうち治る」は危険!噛めない悩みを放置するリスク
「少し噛みにくいだけだから、そのうち慣れるだろう」「大したことない」
そう考えて、悩みを放置していませんか?
そう考えて、悩みを放置していませんか?
しかし、しっかり噛めない状態を放置することは、様々なリスクを伴います。
① 噛み合わせのさらなる悪化
噛みにくい部分を避けて食事をする癖がつくと、残っている健康な歯や顎に大きな負担がかかります。これにより、健全な歯までがすり減ったり、歯周病が進行したりと、全体の噛み合わせがさらに悪化してしまう可能性があります。
② 消化器官への負担増加
しっかり噛めない状態が続くと、消化不良が慢性化し、胃腸の不調が恒常的になります。これは、栄養吸収の妨げにもなり、身体全体の健康状態にも影響を及ぼします。
③ 認知機能の低下
咀嚼(そしゃく)が脳に与える刺激は非常に重要です。噛む回数が減ると、脳への血流が減少し、認知機能の低下に繋がるという研究結果も出ています。特にご高齢の方にとっては、認知症予防の観点からも、しっかり噛めることが重要です。
④ 精神的なストレスの蓄積
「食事が楽しくない」「硬いものが食べられない」といったストレスは、徐々に心に蓄積されます。美味しい食事は、人生の大きな喜びの一つ。その喜びを諦めることで、QOL(生活の質)が大きく低下してしまうのです。
7. 津田歯科・矯正歯科の「精密治療」が、噛める喜びを再びもたらす
「噛めない」という問題を根本から解決するためには、原因を正確に特定し、精密な治療を行うことが不可欠です。当院が提供する「精密治療」が、噛める喜びを再びもたらします。
① マイクロスコープを用いた精密治療
肉眼では見えないような、むし歯の細かな部分や、歯の根の中までマイクロスコープで拡大して確認します。これにより、治療の精度が格段に向上し、再発リスクを低減させます。
② 3D-CTによる正確な診断
従来のレントゲンでは分からなかった、骨の奥行きや神経の位置まで正確に把握できる3D-CTを活用します。特にインプラント治療や難症例の診断において、安全で確実な治療計画を立てる上で欠かせません。
③ 院内技工による高品質な被せ物
当院では、院内に歯科技工士が在籍しています。これにより、患者さんの口腔内に合わせた、より精度の高い被せ物や詰め物をスピーディーに製作することが可能です。色や形についても、患者さんのご希望を細かく反映できます。
8. 患者さんの心の声に耳を傾ける「伴走型」サポート
「歯が悪いせいで、他の人に迷惑をかけてしまうのでは…」
「もう長年放置してしまったから、怒られるのではないか…」
「もう長年放置してしまったから、怒られるのではないか…」
当院では、患者さんのそうした心の声にもしっかりと耳を傾けます。
安心のカウンセリングルーム
プライバシーに配慮したカウンセリングルームで、周りの目を気にすることなく、お悩みやご不安を何でもお話しいただけます。歯科医師や歯科衛生士が、専門的な知識と温かい心で、患者さんの気持ちに寄り添います。
治療のペースは患者さん次第
一度にすべての治療を終える必要はありません。患者さんのご希望や体調、経済的なご負担を考慮しながら、治療のペースを調整します。「今日はここまで」といったご要望にも、柔軟に対応いたします。
9. まとめ:諦めないで。人生は、美味しい食事と共に
しっかり噛めることは、心身の健康と人生の豊かさに直結します。
「もう歳だから…」「諦めるしかない…」と、食事を我慢していませんか?
「もう歳だから…」「諦めるしかない…」と、食事を我慢していませんか?
津田歯科・矯正歯科は、あなたの「もう一度、しっかり噛んで食事を楽しみたい」という願いを、全力でサポートします。
人生は、まだまだ美味しいもので溢れています。
その喜びを、再び手に入れるために、まずは一歩、私たちと一緒に踏み出しましょう。
その喜びを、再び手に入れるために、まずは一歩、私たちと一緒に踏み出しましょう。
津田歯科・矯正歯科の医院情報
津田歯科・矯正歯科
 住所:大阪府大阪市都島区善源寺町1-5-37 美代志ビル1階
 アクセス:大阪メトロ谷町線「都島駅」より徒歩3分
 電話:06-6922-6480
 Web予約:https://tsuda-dc.jp/当院のInstagramはこちら:https://www.instagram.com/tsudadentalclinic5824/
 診療時間:平日 9:30~13:00 / 14:00~18:00
 土曜 9:30~13:00 / 14:00~17:00
 休診日:木曜・日曜・祝日(GW・お盆・年末年始あり)
 津田歯科・矯正歯科
CATEGORYカテゴリー
RECENT POSTS最近の投稿
TAGタグ
ARCHIVE月別アーカイブ
- 2025年 (207) 
- 2024年 (205) 
- 2023年 (49) 
- 2022年 (11) 
- 2021年 (1) 
- 2020年 (9) 
- 2018年 (24) 
- 2017年 (64) 
- 2016年 (49) 
- 2015年 (12) 


 
  
  
  
  
  
 
 
 






