スタッフブログ
お子様の歯並びが気になる親御様へ|都島区での小児矯正の始め方
「うちの子、歯並びが悪くて将来が心配……」
「いつ頃から矯正を始めたらいいの?」
「いつ頃から矯正を始めたらいいの?」
都島区にお住まいの親御さんで、お子様の歯並びについてこのようなお悩みをお持ちの方も多いのではないでしょうか?
お子様の歯並びは、見た目だけでなく、全身の健康にも大きく関わってきます。
しかし、何をどうしたらいいか分からず、不安な気持ちを抱えている方も少なくありません。
津田歯科・矯正歯科では、お子様一人ひとりの成長に合わせた小児矯正をご提案しています。
このブログでは、お子様の歯並びがなぜ重要なのか、小児矯正を始めるタイミング、具体的な治療方法、そして都島区で安心して小児矯正を始められる当院の取り組みについて、専門的な知識を交えながらも分かりやすく解説します。
1. なぜお子様の歯並びは大切なの?見過ごされがちな3つのリスク
「歯並びは見た目の問題だけ」と思われがちですが、実はそれだけではありません。お子様の歯並びが将来にわたって健やかな成長を妨げる可能性があることをご存知でしょうか。
1-1. お口の機能が正しく育たない
悪い歯並びは、お子様のお口の機能発達に大きな影響を与えます。
- 正しく噛めない:歯並びが悪いと、食べ物をしっかり噛み砕くことができません。消化不良につながるだけでなく、顔の筋肉が正しく発達せず、顎の成長にも影響を及ぼします。
- 発音が不明瞭になる:歯と舌の動きは、正確な発音に不可欠です。歯並びの乱れは、サ行やタ行の発音を不明瞭にし、コミュニケーションに苦手意識を持ってしまう原因にもなり得ます。
- 口呼吸の原因に:前歯の噛み合わせが悪い「開咬(かいこう)」は、常に口が開いてしまい、口呼吸につながりやすくなります。口呼吸は、風邪を引きやすくなったり、歯周病のリスクを高めたりと、さまざまな健康問題を引き起こします。
1-2. 虫歯や歯周病のリスクが高まる
歯が重なり合って生えていると、歯ブラシが届きにくく、磨き残しが増えてしまいます。その結果、虫歯や歯周病のリスクが高まるのです。特に乳歯の虫歯は、後に生えてくる永久歯にも悪影響を及ぼすことがあります。
1-3. 精神的なストレスになる
お子様は、ご自身で歯並びの悪さを認識し、周りの目が気になってしまうことがあります。口元を隠す癖がついたり、人前で笑顔を見せられなくなったりと、精神的なストレスを感じてしまうこともあるのです。自信を持って毎日を過ごせるよう、お子様の心の健康のためにも歯並びを整えることは大切です。
2. 小児矯正はいつ始めるべき?最適なタイミングの見極め方
「小児矯正は早ければ早いほど良い」と聞いたことはありませんか?実は、お子様の状態によって最適なタイミングは異なります。都島区の津田歯科・矯正歯科では、お子様の成長段階に合わせた最適な矯正プランをご提案します。
2-1. 小児矯正のベストなタイミングは「混合歯列期」
一般的に、小児矯正の最適なタイミングは**乳歯と永久歯が混在する「混合歯列期(6歳~12歳頃)」**と言われています。この時期は、お子様の顎の成長をコントロールできる、矯正治療において非常に重要な期間です。
- 顎の骨の成長を誘導:混合歯列期は、顎の骨がまだ柔らかく成長の途中であるため、矯正装置を使って顎の成長を促したり、逆に抑制したりすることができます。これにより、将来の抜歯のリスクを減らせる可能性が高まります。
- 悪い癖を改善:指しゃぶりや舌の癖など、歯並びを悪くする原因となる悪習癖を改善する絶好の機会です。
- 永久歯が正しく生えるスペースを確保:顎を広げる治療を行うことで、これから生えてくる永久歯が正しい位置に並ぶための十分なスペースを確保します。
2-2. 4~5歳でも相談は可能!「反対咬合(受け口)」の場合
特に、受け口(反対咬合) の場合は、さらに早い段階での治療が推奨されることがあります。4~5歳といった幼児期でも、簡単な装置を使って顎の成長をコントロールすることで、将来的な治療を大幅に軽減できる場合があります。
「まだ乳歯なのに相談していいの?」と迷われている親御さんも、まずは一度、都島区の津田歯科・矯正歯科にご相談ください。早期発見・早期治療が、お子様の負担を減らす鍵となります。
3. 小児矯正の種類と治療の流れ:お子様に合わせた矯正プラン
小児矯正にはいくつかの種類があり、お子様のお口の状態や年齢、お悩みに合わせて最適な装置を使い分けます。
3-1. 小児矯正の代表的な装置
- ムーシールド:特に**反対咬合(受け口)**の改善に特化した、マウスピース型の装置です。主に就寝時に装着することで、舌の位置や口周りの筋肉のバランスを整え、自然な噛み合わせへと導きます。乳歯列期(3歳頃~)から使用でき、早期に治療を開始することで、将来の本格的な矯正治療を軽減できる可能性があります。
- 床矯正(しょうきょうせい):取り外し可能なプラスチック製の装置で、顎の幅を広げ、永久歯が正しく並ぶためのスペースを作ります。お子様が自分で取り外せるため、食事や歯磨きがしやすく、衛生的です。
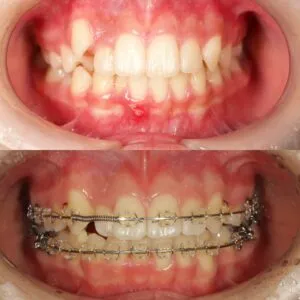
- ワイヤー矯正:歯の表面にブラケットと呼ばれる小さな装置を取り付け、そこにワイヤーを通して歯を動かす、最も一般的な矯正方法です。特に歯の移動量が大きい場合や、複雑な症例にも対応できます。永久歯に生え変わってから行う「2期治療」で用いられることが多いですが、部分的な治療に用いることもあります。
3-2. 津田歯科・矯正歯科での小児矯正の流れ
- ご相談:お子様の歯並びや顎の成長について気になる点があれば、まずは無料相談にお越しください。専門のスタッフが丁寧にお話をお伺いします。
- 精密検査:レントゲン撮影や歯型の採取、口腔内写真の撮影などを行い、お子様のお口の状態を詳しく分析します。
- 診断と治療計画のご提案:精密検査の結果をもとに、お子様に最適な治療計画をご提案します。使用する装置の種類や治療期間、費用についても詳しくご説明します。
- 治療開始:矯正装置を装着し、治療をスタートします。お子様が楽しく治療を続けられるよう、スタッフがサポートいたします。
- 定期的なチェック:定期的にご来院いただき、装置の調整や歯磨き指導を行います。お子様の成長に合わせて、治療計画を柔軟に変更していくこともあります。
- 治療終了・保定期間:歯並びが整ったら治療は終了です。歯が元に戻ろうとする「後戻り」を防ぐため、保定装置を装着して経過観察を行います。
4. 都島区で小児矯正をお考えの親御さんへ|津田歯科・矯正歯科が選ばれる理由
都島区には多くの歯科医院がありますが、津田歯科・矯正歯科が小児矯正で多くの親御さんから選ばれているのには理由があります。
4-1. 矯正専門医との連携で安心の治療
当院では、矯正治療に精通した専門医と連携し、お子様一人ひとりの状態に合わせた最適な治療計画を立案します。複雑な症例にも対応できる体制が整っているため、安心して治療を受けていただけます。
4-2. お子様に寄り添う丁寧なカウンセリング
初診のカウンセリングでは、お子様の歯並びのお悩みだけでなく、お子様の性格や生活習慣まで丁寧にお伺いします。お子様が「歯医者嫌い」にならないよう、コミュニケーションを大切にし、納得のいく治療を提供します。
4-3. 家族で通えるアットホームな雰囲気
津田歯科・矯正歯科は、お子様だけでなく、親御さんも安心して通えるアットホームな雰囲気づくりを心がけています。待合室にはキッズスペースも完備しており、お子様が楽しく過ごせる環境を整えています。
4-4. 都島駅から徒歩すぐの好アクセス
都島駅から徒歩圏内に位置しており、お仕事帰りやお買い物のついでにも気軽にお立ち寄りいただけます。定期的な通院が必要な矯正治療において、アクセスの良さは大きなメリットです。
5. 小児矯正の費用について|都島区の親御さんの不安を解消
「小児矯正って費用が高いイメージがある……」と、費用面で踏み出せない方もいらっしゃるかもしれません。都島区の津田歯科・矯正歯科では、お子様の矯正治療を安心して始めていただけるよう、費用についても丁寧にご説明します。
5-1. 治療費の内訳と相場
小児矯正の費用は、治療内容や使用する装置によって異なります。
- 1期治療(混合歯列期):顎の骨の成長を利用して歯並びを整える治療です。費用は30万円~50万円程度が一般的です。
- 2期治療(永久歯列期):全ての歯が永久歯に生え変わってから行う本格的な矯正治療です。費用は40万円~50万円程度が目安となります。
※費用はあくまで目安です。お子様のお口の状態によって変動します。
5-2. 医療費控除の活用
矯正治療は、審美目的とみなされることが多いですが、お子様の成長に悪影響を及ぼす不正咬合(噛み合わせの不具合)の治療と診断された場合は、医療費控除の対象となる可能性があります。
- 医療費控除とは:1年間の医療費の合計額が10万円を超えた場合、所得税の一部が還付される制度です。
- 申請方法:確定申告時に、歯科医院で発行される診断書や領収書を添付して申請します。
詳しくは、国税庁のホームページをご確認いただくか、当院にご相談いただければ、制度の活用方法についてもアドバイスさせていただきます。
6. まとめ|都島区の津田歯科・矯正歯科で、お子様の未来の笑顔を
お子様の歯並びは、将来の健康と自信に大きく関わる大切な問題です。都島区の津田歯科・矯正歯科では、お子様一人ひとりに寄り添い、最適なタイミングと治療法で、健やかな成長をサポートします。
「まだ早いかな?」と迷われている親御さんも、まずは一度、お気軽にご相談ください。早期に相談することで、治療の選択肢が広がり、お子様の負担も軽減できます。
お子様の歯並びについて、都島区の津田歯科・矯正歯科に相談してみませんか?
都島区の皆様のお口の健康を、スタッフ一同、全力でサポートさせていただきます。ご来院を心よりお待ちしております。
津田歯科・矯正歯科の医院情報
津田歯科・矯正歯科
住所:大阪府大阪市都島区善源寺町1-5-37 美代志ビル1階
アクセス:大阪メトロ谷町線「都島駅」より徒歩3分
電話:06-6922-6480
Web予約:https://tsuda-dc.jp/当院のInstagramはこちら:https://www.instagram.com/tsudadentalclinic5824/
診療時間:平日 9:30~13:00 / 14:00~18:00
土曜 9:30~13:00 / 14:00~17:00
休診日:木曜・日曜・祝日(GW・お盆・年末年始あり)
津田歯科・矯正歯科
CATEGORYカテゴリー
RECENT POSTS最近の投稿
TAGタグ
ARCHIVE月別アーカイブ
2025年 (192)
2024年 (205)
2023年 (49)
2022年 (11)
2021年 (1)
2020年 (9)
2018年 (24)
2017年 (64)
2016年 (49)
2015年 (12)