スタッフブログ

【Q&A形式】初めての矯正治療ガイド|マウスピース・ワイヤー・小児・成人矯正|都島区 津田歯科・矯正歯科

Q1. 矯正治療って何ですか?

A. 矯正治療とは、歯並びや噛み合わせを整える治療です。

見た目を美しくするだけでなく、咀嚼効率の改善や発音の安定、歯磨きのしやすさによる虫歯・歯周病予防など、口腔全体の健康にもつながります。


Q2. 矯正治療を始めるタイミングは?

A. 年齢や歯の状態によって異なります。

  • 小児矯正:乳歯から永久歯に生え変わる時期(6歳~12歳)に開始すると、顎の成長を利用でき、効率的に歯並びを整えられます。(受け口等問題のある場合はもっと早期から治療をすることがあります)

  • 成人矯正:成長が完了した後でも可能です。最近は透明で目立たないマウスピース矯正が人気です。

まずは歯科で相談・診断を受け、治療方針や期間、費用の目安を確認することが大切です。


Q3. マウスピース矯正とワイヤー矯正の違いは?

A. 主に装置の種類と目立ちやすさで違いがあります。

  • ワイヤー矯正:歯の表面にブラケットを装着し、ワイヤーで歯を動かす方法です。ほとんどの症例に対応可能ですが、装置が目立ち、ブラッシングがやや難しいことがあります。

  • マウスピース矯正:透明なマウスピースを装着して歯を動かす方法です。目立たず取り外し可能で食事や歯磨きがしやすいですが、適応症例が限られる場合があります。

生活スタイルや希望に合わせて、最適な方法を選びましょう。


Q4. 小児矯正と成人矯正の違いは?

A. 小児矯正と成人矯正には、以下のような特徴があります。

  • 小児矯正

    顎の成長を利用して歯並びを整え、抜歯の可能性を減らすことができる。軽度~中等度の症例に適している。

  • 成人矯正

    成長が完了しているため計画通りに歯を動かしやすく、マウスピース矯正で目立たず治療可能。複雑な症例にも対応できる。


Q5. 矯正中に痛みはありますか?

A. 初期装置装着時やワイヤー調整後に軽い痛みや違和感を感じることがありますが、数日で落ち着きます。鎮痛薬で対応可能なこともあります。


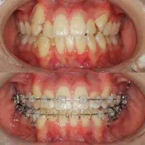
Q6. 装置は目立ちますか?

A. ワイヤー矯正はブラケットが見えますが、当院のブラケットは透明の目立たないブラケットです。(他院ではこのブラケット選択で追加料金が発生するところもあるようですが、当院は追加料金は不要です)マウスピース矯正はほとんど目立たず、会話や仕事にも支障が少ないです。


Q7. 矯正治療中に食べてはいけないものはありますか?

A. 硬いものや粘着性のあるもの、糖分の多い飲み物は避けるのが望ましいです。

  • 硬いもの:せんべい、氷、ナッツ

  • 粘着性のあるもの:キャラメル、グミ

  • 糖分の多い飲料:ジュース、甘いコーヒー

食後は水でうがいをする習慣をつけると、虫歯予防につながります。


Q8. ブラッシングのコツは?

A. 装置があると磨き残しが増えるため、丁寧に磨きましょう。

  • 小さめ・柔らかい歯ブラシを使用

  • ブラケット周囲を意識して磨く

  • デンタルフロスや歯間ブラシで隙間も清掃

  • マウスピースは外して歯磨き後に装着


Q9. 矯正中によくあるトラブルは?

  • 口内炎:ブラケットやワイヤーが当たることで発生。ワックスや塗り薬で緩和可能

  • ワイヤー・ブラケットの外れ:硬いものを避け、外れたらすぐ歯科で修理

  • 歯がしみる・軽い痛み:装置装着後は数日で改善


Q10. 矯正後は何をすればいいですか?

A. 矯正後は「保定(リテーナー)」が重要です。

  • 固定式リテーナー:歯の裏側にワイヤーを固定

  • 取り外し式リテーナー:透明マウスピースタイプ

  • 最低1~2年は毎日装着し、定期的にチェック

保定を怠ると、せっかく整えた歯並びが後戻りする可能性があります。


Q11. 矯正治療の費用と期間は?

  • 小児矯正:5~40万円程度、期間1〜3年

  • 成人矯正:60〜120万円、期間1.5〜4年

  • マウスピース矯正:60〜100万円、期間1.5〜3年

症例や装置によって変動するため、初回相談時に見積もりを確認しましょう。(個人差もあります。歯が動きやすい方とそうでない方がおられます)


Q12. 矯正治療のメリットは?

  • 見た目が美しくなることで自信が持てる

  • 咀嚼効率が上がり健康面にも好影響

  • 歯磨きしやすくなり、虫歯・歯周病予防

  • 顎や噛み合わせのバランスが改善し、肩こりや頭痛軽減の可能性


Q13. 矯正治療を始めるときのポイントは?

  • まず相談・検査を受ける

  • 自分に合った装置を選ぶ

  • 治療中の食生活・ブラッシングを習慣化

  • 保定装置で歯並びを安定させる

Q14. 矯正治療中に口腔内の衛生を保つコツは?

A. 矯正装置があると、歯ブラシだけでは磨き残しが増えるため、次の習慣を取り入れると効果的です。

  1. フロスや歯間ブラシの活用

    ブラケットの間やワイヤーの下に食べかすが溜まりやすいので、フロスや歯間ブラシで丁寧に清掃します。

  2. 洗口液の使用

    フッ素入り洗口液を使用することで、虫歯や歯周病の予防効果が高まります。

  3. マウスピース矯正中の清掃

    取り外し式のマウスピースは、歯磨き後に装着前に必ず洗浄し、雑菌の繁殖を防ぎます。

日々のケアを怠ると、虫歯や歯ぐきの腫れが生じ、治療の進行に影響することがあります。


Q15. 矯正中に装置が当たって痛い場合はどうすればいいですか?

A. ワイヤーやブラケットが口内の粘膜に当たると、口内炎ができやすくなります。対処法は以下の通りです。

  • 矯正用ワックスを使用

    当たる部分にワックスを貼ると摩擦を減らし、痛みを緩和できます。

  • 軟膏や口内炎パッチの使用

    痛みや炎症を和らげる専用の軟膏やパッチを使用します。

  • 食事の工夫

    柔らかいものを中心に摂り、刺激の強い食材は避けましょう。

口内炎が長引く場合は、歯科で装置の微調整を行うことも可能です。


Q16. 矯正治療中の運動やスポーツは可能ですか?

A. 運動やスポーツは基本的に可能ですが、口腔内のケガに注意が必要です。

  • 接触スポーツの場合

    マウスガードを装着することで、歯や装置を保護できます。

  • 激しい運動後のケア

    汗や食べかすが口内に残ると細菌が繁殖しやすくなるため、運動後は水でうがい、可能であれば歯磨きを行いましょう。


Q17. 矯正治療中に歯の色や汚れが気になる場合は?

A. 装置があると、歯の表面の着色や汚れが目立つことがあります。

  • 定期的なクリーニング

    歯科でのプロフェッショナルクリーニング(PMTC)を受けると、着色や汚れを除去できます。

  • 食生活の工夫

    コーヒー、紅茶、カレーなどの着色しやすい食品を摂取したら、すぐに水でうがいをする習慣をつけましょう。

  • マウスピース矯正の場合

    マウスピースの汚れも歯の着色の原因になるため、専用洗浄液やブラシで清掃します。


Q18. 矯正治療中に虫歯になりやすいって本当ですか?

A. はい、装置があると歯磨きがしにくく、虫歯のリスクが高まります。

  • 虫歯予防のポイント

    • 食後のブラッシングを丁寧に行う

    • 糖分の多いお菓子や飲料を控える

    • 定期的に歯科でチェック・クリーニング

  • マウスピース矯正の利点

    取り外して歯磨きができるため、虫歯予防が比較的容易です。


Q19. 矯正中に歯が動いている感覚は正常ですか?

A. はい、歯が動く感覚は矯正治療が計画通りに進んでいるサインです。

  • ワイヤー矯正では調整後に歯が浮いたような感覚が数日続くことがあります。

  • マウスピース矯正では、新しいアライナー装着時に軽い圧迫感を感じます。

痛みが強すぎる場合は、歯科に相談してワイヤーやアライナーを調整してもらいましょう。


Q20. 矯正治療中に装置が外れた場合は?

A. 自分で無理に戻そうとせず、なるべく早く歯科で修理してもらいましょう。

  • 外れたまま放置すると、歯が予定通りに動かず治療期間が延びる可能性があります。

  • 小さなワイヤーのずれも早期対応が重要です。


Q21. 矯正治療後の生活はどう変わりますか?

A. 治療後は次のことに注意すると、歯並びを長く維持できます。

  • リテーナー(保定装置)を必ず装着

    歯が元の位置に戻らないよう、指示通りの装着時間を守りましょう。

  • 定期チェック

    年1~2回の定期検診で歯並びの安定を確認します。

  • 生活習慣の継続

    丁寧な歯磨き、食生活、虫歯予防は矯正後も続けましょう。


まとめ

矯正治療は、歯並びを整え見た目だけでなく口腔全体の健康にも大きく貢献します。

  • 初めて矯正を検討する場合は、まず相談・診断を受ける

  • 装置の種類や治療法、生活習慣の工夫を理解する

  • 治療中のトラブルやケア、保定までしっかり管理する

大阪市都島区の津田歯科・矯正歯科では、患者さま一人ひとりに合わせた最適な矯正プランをご提案しています。

「歯並びを整えたい」「矯正治療を始めたい」とお考えの方は、ぜひお気軽にご相談ください。

 

津田歯科・矯正歯科の医院情報

津田歯科・矯正歯科

住所:大阪府大阪市都島区善源寺町1-5-37 美代志ビル1階

アクセス:大阪メトロ谷町線「都島駅」より徒歩3分

電話:06-6922-6480

Web予約:https://tsuda-dc.jp/当院のInstagramはこちら:https://www.instagram.com/tsudadentalclinic5824/

診療時間:平日 9:30~13:00 / 14:00~18:00

土曜 9:30~13:00 / 14:00~17:00

休診日:木曜・日曜・祝日(GW・お盆・年末年始あり)

津田歯科・矯正歯科

RECENT POSTS最近の投稿

TAGタグ